Researchers have developed a new antimalarial drug candidate designed to address the growing challenge of drug resistance and potentially reduce malaria transmission.

The first-in-class clinical candidate, MK-7602, has been developed through a longstanding collaboration between WEHI and global biopharmaceutical company MSD (tradename of Merck & Co., Inc., Rahway, N.J., USA).
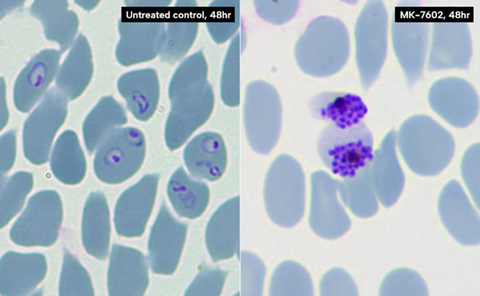
Pre-clinical research now published in eBiomedicine, a Lancet journal, shows the novel drug candidate targets the malaria parasite at multiple stages of its life cycle, with potential applications for both treating infections and reducing disease spread.
Since the completion of this preclinical research, results from early stage clinical trials continue to provide evidence for the potential of MK-7602 for the treatment of malaria.
Working to advance the fight against malaria
The emergence of drug-resistant parasites has complicated efforts to control and eliminate malaria, which remains a leading cause of preventable illness and death globally, killing an estimated 600,000 people a year.
Children under 5 are the most vulnerable – it is estimated that a child dies of malaria every minute.
The new drug candidate MK-7602 targets the most prevalent malaria parasites in humans, Plasmodium falciparum and Plasmodium vivax, and blocks two essential parasite enzymes, providing a unique dual-action strategy with the potential to reduce the risk of resistance.
Professor Alan Cowman AC, lead investigator from WEHI, said new and better treatments for malaria were urgently needed, to drive forward global efforts towards eradication.
Important step
“The evaluation of MK-7602 represents an important step in our fight against malaria,” he said.
“Its ability to target multiple stages of the parasite life cycle, combined with its high barrier to resistance, supports our ongoing efforts to find new ways to combat this devastating disease for patients who need the hope of new treatments.”
“We are encouraged by these results and look forward to further investigating this candidate as a potential new tool in malaria control and elimination efforts.”
Collaborative drug development effort
The close research collaboration between WEHI and MSD, spanning almost a decade, used the advanced screening technologies at WEHI’s National Drug Discovery Centre, which were instrumental in identifying and optimising the compound.
The new study combined mouse models and laboratory tests using human blood cells to evaluate the activity of MK-7602 against malaria parasites at multiple life stages, including the blood, liver and transmission stages.
Its mechanism targets two essential parasite enzymes, Plasmepsin IX and X, with the goal of creating a high barrier to the development of resistance.

MK-7602 has since completed Phase 1 safety and tolerability studies. Results of a Phase 1b clinical trial evaluating the activity of MK-7602 against P. falciparum blood stage infection in healthy adult participants (NCT06294912) were recently presented at the American Society of Tropical Medicine & Hygiene (ASTMH) meeting.
Next steps
Further studies are needed to fully assess the efficacy and safety of MK-7602 in diverse patient populations and real-world settings.
This research was supported by Wellcome, Drakesnberg Trust and the National Health and Medical Research Council of Australia.
The study, “MK-7602: a potent multi-stage dual-targeting antimalarial”, is published in eBiomedicine, a Lancet journal (DOI: 10.1016/j.ebiom.2025.106061).
No comments yet