Medical Microbiologist and Antimicrobial Resistance Researcher Dr. Oluwole Owoyemi, ASM Young Ambassador to the UK, reveals why he designed a scientific writing and publishing workshop for early career scientists - and how it went.
Feeding a growing population while rebuilding depleted soils is one of agriculture’s biggest challenges. When fungal networks are thriving, they can improve nutrient uptake, support stronger root systems, and reduce the need for fuels to stretch as far, with their input. It’s a small-scale partnership with big implications for the future of farming…
Read storyDysbiosis is defined as an imbalance in the composition and function of the gut microbiota. This imbalance can lead to dysregulated interactions within the bacterial community and between microbes and the host, and it can be associated with disease states. However, discussions of dysbiosis often rely on simplified dichotomies, such ...
Microfluidics is a fast-growing field focused on manipulating tiny volumes of fluid, often within channels no wider than a human hair. Despite its potential, around 90% of microbial experiments are still carried out under static conditions. So, what are we missing by ignoring flow? And how can microfluidics help close the gap?
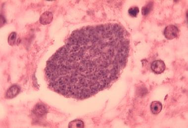
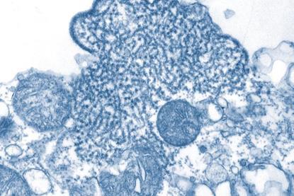
Bacteria and their viral predator bacteriophages (phages) have coevolved for billions of years and are engaged in an endless arms race against each other. DNA modifications are among the most widespread defenses to block bacterial RM and CRISPR-Cas systems.
The Microbiologist provides detailed information on the latest research, topics, reviews, events and news on a wide variety of microbiological topics.
Members of Applied Microbiology International get unlimited access as a benefit. Find out more about AMI Membership
Director General of the Chilled Food Association, Karin Goodburn MBE, who sits on AMI’s Food Security Advisory Group, reveals why the publication of new Listeria guidance for the UK food industry is regarded as a landmark moment.
In 2020, Puerto Rico faced a misinformation crisis. Melanie Ortiz Alvarez De La Campa reveals how five STEM undergraduates created a sci-comm organization that helped pass legislation, educated thousands, and created an inclusive database of Caribbean scientists.
The therapeutic potential of bacteriophages (or ‘phages’) has been widely dismissed for decades in the West, despite being regularly used to treat patients worldwide in the early and mid-20th century. In an age rife with disinformation, can the true potential of clinical phage technology be communicated to a public already uneasy about scientific intervention?
It’s now 25 years since the National Collection of Pathogenic Viruses (NCPV) was founded as a dedicated, secure, and relevant national virus repository for the UK. Jane Burton, Teresa Ramalho and Tilly Maybery explore how the collection has evolved - and is tackling future global health concerns.
Dr. Taniya RoyChowdhury, a soil microbial ecologist and biogeochemist at the Woodwell Climate Research Center, describes a typical day.
Shan Goh from the University of Hertfordshire reports back on the International Symposium on the Epidemiology and Control of Biological, Chemical and Physical Hazards in Pigs and Pork held in Rennes, France, in October. Shan was supported with a Scientific Event Travel Grant awarded by AMI.
The new Pro-Active Genetics (Pro-AG) tool called pPro-MobV is a second-generation technology that uses an approach similar to gene drives to disable drug resistance in populations of bacteria.
By analyzing vaginal microbiome data at unprecedented resolution, researchers have identified 25 distinct vaginal microbiome types and demonstrated that bacteria of the same species can differ substantially in their functional potential, thereby affecting how these microbes interact with the body.
Following one of the largest sewage spills in U.S. history, researchers detected high levels of fecal-related bacteria and disease-causing pathogens in the Potomac River, raising urgent public health concerns and underscoring the risks posed by aging sewer infrastructure.
Feeding a growing population while rebuilding depleted soils is one of agriculture’s biggest challenges. When fungal networks are thriving, they can improve nutrient uptake, support stronger root systems, and reduce the need for fuels to stretch as far, with their input. It’s a small-scale partnership with big implications for the future of farming…
Following one of the largest sewage spills in U.S. history, researchers detected high levels of fecal-related bacteria and disease-causing pathogens in the Potomac River, raising urgent public health concerns and underscoring the risks posed by aging sewer infrastructure.
Scientists have discovered that cyanobacteria may play a major role in spreading antibiotic resistance genes in coastal environments. The findings highlight a previously overlooked link between natural nutrient cycling and the global challenge of antibiotic resistance.