Early career research is crucial for science, and in delivering applied microbiology to the world. This page is focused on showcasing innovations and research from early career researchers across the globe and provides a hub for the latest news, opinions, careers advice and research for early career scientists. Discover how interdisciplinary colleagues from around the world are making advancements in, and through, applied microbiology.
New research to be presented at MLSFF26 reveals whole-genome sequencing as a powerful tool that can distinguish between antibiotic-resistant and susceptible strains of urinary tract pathogens by identifying the specific genetic signatures that confer resistance.
Read storyResearchers studying leafcutter ants have demonstrated how bacteria in the colonies respond to different diets provided by ants to the fungi they cultivate. The study paves the way for a better understanding of how colonies function and may lead to the discovery of new molecules for biotechnological use.
Researchers have developed a tool that can predict where and when the risk of infection is highest. The tool is based on infection data from the U.S. outbreaks and adapted to a Danish context.
Researchers have developed a new technique to measure the content of individual human cells infected with bacteria that model tuberculosis – and it is already revealing biological changes that conventional analysis would miss.
A new, U.S.-based, environmentally friendly method for mining rare-earth elements used in consumer electronics, clean energy, defense and biomedical imaging uses oxalic acid made by sugar-eating engineered yeast, extracting almost all the rare-earth elements from low-grade ore.
Researchers have identified multiple fungal species causing dry rot in Colorado. By analyzing structural and molecular features, plant pathologists identified four Fusarium species associated with potato dry rot – including one that hadn’t previously been found in the U.S.
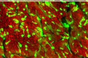
A new study provides the first detailed 3D structure of a protein called EtfD, which the bacterium Mycobacterium tuberculosis uses to extract energy from lipids (fats), along with the first laboratory test capable of directly measuring its activity.
Researchers have discovered a synergistic ‘consortium’ of plastic-eating bacteria, which can eat phthalate esters (PAEs) – plasticizers which are often found in building materials, food packages, and personal care products, but have been implicated in hormonal, metabolic, and developmental disorders and some cancers.
Researchers uncovered the role of individual ocean bacteria in the breakdown of a widely used biodegradable plastic. They also showed the complementary processes microbes use to fully consume the plastic, with one microbe cleaving the plastic into its component chemicals and others consuming each chemical.
Researchers analyzed the connection between a cyclone in Peru and a massive outbreak of dengue fever, a mosquito-borne viral disease that can cause fever, rash, and life-threatening symptoms like hemorrhage and shock. Their findings reveal that warmer, wetter weather linked to climate change is making disease epidemics more likely.
Lemongrass essential oil can be even more effective than traditional antibiotics against some Streptococcus bacteria under certain conditions, new research to be presented at MLSFF26 has found.
Researchers have discovered that oyster microbes might help with the “heavy lifting” of calcification that forms oyster shells. These microbes and the oysters co-express – or coordinate – the expression of certain genes that hint at a chemical “dialogue” between the host and these microbes.
A new study finds that herpes simplex virus uses a protein called infected cell protein 4 (ICP4) to make the human nucleus more fluid-like, which in turn makes it easier for the virus to replicate itself. Blocking the ability of ICP4 to fluidize the nuclear compartment caused a drop in viral copy production.
What impact does a viral infection have on our memory, attention, and concentration? A new review has identified several biological markers associated with cognitive decline in the context of infection. It also provides a solid foundation for future research.
One of the big mysteries in food allergy is why two people with similar levels of peanut specific antibodies can react so differently. A new study shows for the first time how gut bacteria break down parts of an allergenic food and influence how a person reacts to peanuts.
A new study details how fecal transplants from older female mice significantly improve ovarian function and fertility in young mice. The surprising results reveal a direct link between the microbiome of the gut and ovarian health and function.
Scientists have designed nanoagents that act like smart drug‑delivery capsules – carrying an antibiotic deep into bacterial infection sites and releasing it only when activated by gentle ultrasound.
A new paper outlines an ’emerging circular fungal biorefinery’ – a system in which low-value agricultural byproducts are converted through fungal fermentation into high-protein, nutrient-rich foods.
Researchers investigating what happens when nanoplastics (polystyrene) interact with Salmonella discovered an increased expression of virulence-related genes. The bacteria also formed thicker biofilms, which indicates they are becoming more virulent.
Researchers have produced a detailed blueprint, the highest resolution yet, for a protein complex the Andes virus uses to infect host cells. The new detailed structural information enabled the researchers to produce a vaccine candidate that caused mice to produce neutralizing antibodies against the Andes virus.
New research suggests that upland forests harboring trees with a common and incurable fungal disease known as heart rot could actually be emitting more methane than they take in, therefore releasing more greenhouse gases than previously thought.
Biochemists have homed in on an underexplored small transporter called MurJ that is a vital part of the pathway bacteria use to build their chain-mail-like cell wall. Using advanced tools, the scientists have determined the common mechanism used by three different bacteria-killing viruses to block MurJ from doing its job.
Researchers have found that previous COVID-19 infection is a significant risk factor for kidney disease. Compared to influenza, those with a history of COVID-19 infection have a 2.3-times higher risk of acute kidney injury and a 1.4-times higher risk of chronic kidney disease, according to an analysis of over three million patients.