Research institutions around the world house valuable genetic information that could help unlock countless medical mysteries. However, because DNA degrades over time, it is difficult for researchers to analyze DNA samples older than 20 years using conventional analytical approaches.

Although modern technologies have transformed researchers’ ability to learn about disease, these technologies have primarily been used on modern genetic samples. The ability to study genetic data from earlier decades has been exceedingly limited, which hinders researchers’ understanding of old diseases and why changes in diseases occur over time.
By adapting techniques originally used to study ancient DNA from archaeological specimens, researchers at the University of Chicago were able to recover genetic information from nearly century-old medical samples.
The work will be presented at the Association for Molecular Pathology (AMP) 2025 Annual Meeting & Expo, taking place Nov. 11–15 in Boston.
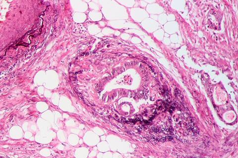
Colorectal cancer specimens
To test their technique, the researchers used samples of tissue from colorectal cancer specimens collected between 1932 and 2023. The researchers chose to focus on colorectal cancer because it has become significantly more common among young adults over the past several decades without a clear explanation. Today, a 35-year-old is twice as likely to develop colorectal cancer compared to a 35-year-old in 1985.
The researchers isolated tumor tissue from formalin-fixed paraffin-embedded specimens for DNA extraction. The researchers optimized the removal of paraffin wax and chemical preservatives to maximize the amount of usable DNA. Next, the researchers used tailored approaches to put the DNA fragments into a readable format for sequencing. They created a custom pipeline using digital tools typically reserved for ancient DNA analysis so they could match samples with missing or damaged DNA to the human genome.
Bacterial DNA
After checking the quality of the DNA, the researchers sequenced the genome using whole-genome sequencing and a targeted gene-enrichment panel (OncoPlus) to find genetic mutations that drive tumor growth. In both cases, they modified the protocols to retain tiny fragments of DNA that is traditionally discarded. Finally, they analyzed the non-human DNA found in the tissue samples to identify bacteria that may have been in the tumor.
Dr. Alexander Guzzetta, M.D., Ph.D., who oversaw the project alongside ancient DNA researcher Maanasa Raghavan, Ph.D., noted, “When we analyzed bacterial DNA from colon cancer tissues, we not only detected normal gut microbes but also bacterial species which are specifically associated with colon cancer.” The team is now working on refining their analysis methods to better understand these bacteria and understand how their presence may have shifted over time.
Shifting landscape
Although Guzzetta’s team is currently focused on colorectal cancer he hopes that other researchers use this work to study other disease changes over time. “There is massive potential here for other groups to use these approaches to unravel the root causes underlying the shifting landscape of modern diseases,” Guzzetta said. “This approach could unlock the ability to study how diseases evolve over decades and shed light on how their biology has changed through time.”
This work was led by Alexander Guzzetta, M.D., Ph.D., at the University of Chicago, and will be presented during a platform presentation at 2:45 p.m. Eastern time on Nov. 13, at the Thomas M. Menino Convention and Exhibition Center in Boston. The work will also be presented as a poster in the convention center. Guzzetta’s poster number is TT008. He will be available to discuss the work with reporters.
No comments yet