Researchers at the Wuhan Institute of Virology have decoded a critical survival strategy of the deadly Nipah virus (NiV), identifying a key host protein hijacked by the pathogen and translating this discovery into a promising new treatment approach. The work, published in Protein & Cell, addresses the urgent need for therapies against this high-mortality virus, for which no specific drugs currently exist.

Niv is a highly pathogenic zoonotic virus that causes acute encephalitis in humans, with a mortality rate ranging from 40% to 75%. In 2018, it was listed on the WHO R&D Blueprint as a virus capable of causing a severe international epidemic.
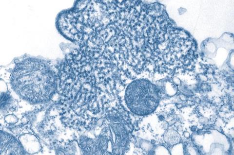
Due to stringent research constraints, including the requirement for biosafety level 4 (BSL-4) laboratories, the molecular mechanisms underlying NiV replication remain poorly understood, and no effective vaccines or antiviral treatments have been developed.
The investigation began by exploring how the virus’s matrix (M) protein, essential for its replication, manipulates the host cell. The team discovered that the M protein commandeers a human enzyme called NSUN2, preventing its normal degradation and causing it to accumulate abnormally within the cell. This finding pinpointed NSUN2 as a central host factor co-opted by the virus.
Clever repayment
Delving deeper, the researchers uncovered the virus’s clever repayment for this stabilization. The accumulated NSUN2 was found to turbocharge viral replication through a dual mechanism. It adds m5C chemical tags to the viral RNA to enhance its stability, leading to more viral protein production. Concurrently, NSUN2 facilitates the crucial ubiquitin modification of the M protein itself, which is necessary for the virus to assemble new infectious particles. This creates a dangerous vicious cycle that strongly amplifies infection.
Armed with this mechanistic understanding, the team devised a strategy to break this cycle. They reasoned that simultaneously attacking the virus’s exploitation of NSUN2 at two points, both its stabilization and its enzymatic activity, could be highly effective.

Testing this in animal models, they combined an approved drug that blocks protein degradation with an experimental inhibitor of NSUN2’s chemical modification function. This dual-target combination proved significantly more effective than either agent alone, dramatically reducing virus levels in infected hamsters and improving survival.
Viral pathogenesis
The work successfully transitions a fundamental discovery about viral pathogenesis into a tangible therapeutic strategy. Commenting on the study, Dr. Ziqi Xiao from the Institute of Biophysics noted, “The study reveals an elegant virus-host feedback loop that is mechanistically insightful.”
He also suggested that future work could explore the roles of additional host proteins, such as RACK1 and UBA1, which were also found to interact with the M protein and influence its ubiquitination.
No comments yet