One of the most heartbreaking occurrences for nature lovers is to discover a beached marine mammal such as a dolphin or whale. If the animal is still alive, marine biologists assisted by citizen volunteers try to protect the beached marine mammal from sun exposure and skin desiccation by pouring buckets of sea water on them and sometimes covering them with wet blankets. Other volunteers try to find ways to help the animal return to their native ocean habitat when the tide rises.

Unfortunately, some beached marine mammals are discovered after they have died. Such unsettling events give rise to a broader question: why do dolphins and whales become stranded on shore in the first place?
READ MORE: Neurotoxin BMAA found in dust from Great Salt Lake
READ MORE: Fecal samples from bowhead whales link ocean warming to rising algal toxins in Arctic waters
A group of scientists ranging from Florida to Wyoming have come up with an unusual hypothesis: just as some adult humans with dementia are occasionally found wandering far from their homes, perhaps dolphins become similarly disoriented by suffering from a form of Alzheimer’s disease. In the case of marine mammals, it appears that Alzheimer’s-type neuropathology and disorientation may result from chronic exposure to toxic molecules produced by cyanobacteria.
Cyanobacterial toxins
Studies of villagers on the island of Guam show that chronic dietary exposure to cyanobacterial toxins are associated with misfolded tau proteins and amyloid plaques characteristic of Alzheimer’s disease. The cyanobacterial toxin β-N-methylamino-L-alanine (BMAA), as well as its isomers 2,4-Diaminobutyric acid (2,4-DAB), and N-2-aminoethylglycine (AEG), have been found to be extremely toxic to neurons. BMAA triggers Alzheimer’s-like neuropathology and cognitive loss in experimental animals. These toxins can be biomagnified up the food chain in the marine ecosystem.
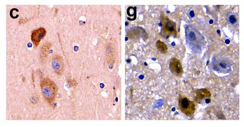
A study of twenty common bottlenose dolphins stranded in the Indian River Lagoon in eastern Florida showed that their brains contained BMAA and its isomers, particularly 2,4-DAB. Dolphins stranded during the summer cyanobacterial bloom season contained 2,900 times the concentration of 2,4-DAB than those from non-bloom seasons.
Brain neuropathology similar to Alzheimer’s patients including β-amyloid plaques and hyperphosphorylated tau proteins were found in the dolphin brains.

In addition, TDP-43 protein inclusions characteristic of a particularly severe form of Alzheimer’s were also found in the dolphin brains. During bloom seasons, the same dolphins showed 536 differentially expressed genes associated with Alzheimer’s disease.
Environmental sentinels
The duration of cyanobacterial blooms is increasing with climate warming and nutrient inputs associated with agricultural runoff and sewage discharges. Cyanobacterial-laden waters have often been released down the St. Lucie River from Lake Okeechobee into the Indian River Lagoon.
“Since dolphins are considered environmental sentinels for toxic exposures in marine environments,” Dr. David Davis at the Miller School of Medicine explains, “there are concerns about human health issues associated with cyanobacterial blooms.”

In 2024, Miami Dade County had the highest prevalence of Alzheimer’s disease in the United States. “Although there are likely many paths to Alzheimer’s disease, cyanobacterial exposures increasingly appear to be a risk factor,” adds Dr. Davis.
“Among Guam villagers, exposure to cyanobacterial toxins appeared to trigger neurological disease,” said Dr. Paul Alan Cox of the Brain Chemistry Labs in Jackson Hole.
This research was published in the current Nature journal Communication Biology by researchers at Hubbs-SeaWorld Research Institute in Melbourne Beach, Florida, The Blue World Research Institute in Cocoa, Florida, The University of Miami Miller School of Medicine, Miami, Florida, Brain Chemistry Labs, Jackson Hole, Wyoming, Rosenstiel School of Marine, Atmospheric, and Earth Science, University of Miami, Miami, Florida.
Topics
- Algae
- Alzheimer’s disease
- bottlenose dolphins
- Brain Chemistry Labs
- Clean Water
- cyanobacteria
- David Davis
- Hubbs-SeaWorld Research Institute
- neuropathology
- Ocean Sustainability
- Paul Alan Cox
- Research News
- strandings
- The Blue World Research Institute
- The University of Miami
- toxins
- USA & Canada
- β-N-methylamino-L-alanine
No comments yet