The European Medicines Agency’s Committee for Medicinal Products for Human Use (CHMP) has granted a positive opinion to Acoziborole Winthrop (acoziborole) as a single-dose oral treatment for both early- and advanced-stage gambiense sleeping sickness in adults as well as in adolescents 12 years and older weighing at least 40 kilograms.

A positive CHMP opinion through the EU-M4all procedure provides a strong endorsement that the medicine meets EU standards. This pathway, which engages WHO disease experts and regulators from endemic countries, is reserved for high-priority medicines addressing diseases with unmet medical needs.
This decision will support regulatory approval of the treatment in the Democratic Republic of Congo (DRC) and lay the groundwork for a revision of the WHO’s sleeping sickness treatment guidelines. Such an update would ultimately broaden access to the medicine across other endemic countries in Central and West Africa.
Once approved in endemic countries, the medicine, co-developed by the Drugs for Neglected Diseases initiative (DNDi) and Sanofi, could provide a significant advance over current therapies. Existing treatments require either a 10-day course of oral medicine or a combination of injections and oral therapy for advanced cases.
READ MORE: New treatment for cryptococcal meningitis enters Phase II trial
”In just 20 years, we have gone from complicated treatments including arsenic derivatives with serious side effects, to today, when a single-dose, one-day therapy could safely cure patients,” said Dr Luis Pizarro, Executive Director at DNDi. ”This progress is testament to the transformative power of collaborative science and will bring us closer to finally eliminating sleeping sickness, a disease that has killed millions on the African continent in the past century.”
Sleeping sickness
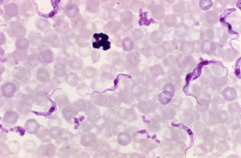
Transmitted by the bite of an infected tsetse fly, human African trypanosomiasis, commonly known as sleeping sickness, is almost always fatal without treatment. In the early stage of the disease, people experience headaches or fever. In the late stage, the parasite crosses the blood-brain barrier and invades the central nervous system, causing behavioural, cognitive, and neurological symptoms, including seizures, sleep disturbance, aggression, confusion, lethargy, convulsions, and, ultimately, death.
DNDi conducted a pivotal Phase II/III study in the DRC and Guinea in partnership with national sleeping sickness control programmes, while Sanofi carried out the regulatory approval process. The CHMP positive opinion is based on clinical and non-clinical data provided by the partners, with efficacy and safety supported by the Phase II/III study, published in The Lancet Infectious Diseases medical journal, which demonstrated success rates at 18 months of up to 96 per cent across both stages of the disease with a good safety profile.
Africa-led science
“The development of acoziborole and today’s positive scientific opinion is a victory for Africa-led science, made possible thanks to African doctors and researchers who conducted cutting-edge pharmaceutical research in some of the most remote and difficult-to-reach areas on the continent,” said Dr Erick Miaka, Director of the DRC’s national sleeping sickness control programme.
In 1998, nearly 40,000 cases of gambiense sleeping sickness were reported, with an estimated 300,000 undiagnosed. At the time, the only available treatment for those with the late stage of the disease was an injectable arsenic derivative with serious side effects. More than two decades of investment in new therapeutic tools resulted in increasingly improved treatments, including nifurtimox-eflornithine combination therapy in 2009 and the first oral treatment, fexinidazole, in 2018. In 2024, fewer than 600 cases of the disease were reported.
Historic lows
“For decades, Sanofi has maintained an unwavering commitment to the fight against sleeping sickness, standing alongside DNDi, the World Health Organization, and other partners in one of the most enduring and successful public-private health collaborations,” said Audrey Duval, Executive Vice President, Corporate Affairs at Sanofi. ”Together, we have helped drive cases to historic lows—achieving a remarkable 98% reduction since 2001—by putting patients first and investing in innovation where it is needed most. Acoziborole builds on this legacy and represents a decisive step forward in eliminating gambiense sleeping sickness by 2030.”
Sanofi will donate Acoziborole Winthrop to the WHO through its philanthropic organization, Foundation S – The Sanofi Collective. The medicine will be available free of charge to patients.
Another study underway in the DRC and Guinea is investigating Acoziborole Winthrop for the treatment of children ages 1 to 14.
DNDi programme for the development of acoziborole
The DNDi programme for the development of acoziborole was supported by grants from the Federal Ministry of Research, Technology and Space (BMFTR) through KfW, Germany; the BBVA Foundation (through the ‘Frontiers of Knowledge Award in Development Cooperation’); Dutch Ministry of Foreign Affairs (DGIS), the Netherlands; European and Developing Countries Clinical Trials Partnership Association (EDCTP2 programme) supported by the European Union; Global Health EDCTP3 and its members; Gates Foundation; Médecins Sans Frontières International; Norwegian Agency for Development Cooperation (Norad), Norwegian Ministry of Foreign Affairs, as part of Norway’s in-kind contribution to EDCTP2; Swiss Agency for Development and Cooperation (SDC); Swiss State Secretariat for Education, Research and Innovation (SERI); Stavros Niarchos Foundation; Spanish Agency for International Development Cooperation (AECID); UK International Development; and other private foundations and individuals.
DNDi’s sleeping sickness programme
Acoziborole Winthrop is the first oral single-dose new chemical entity to be issued from DNDi’s lead optimization programme for sleeping sickness. It started with an initial hit identified in the chemical library of Anacor Pharmaceuticals, which was acquired by Pfizer in 2016. The initial structure was then optimized with Scynexis and Pace University and was then selected as a candidate for development and Phase I safety studies conducted successfully in France, the UK, and Malaysia.
Acoziborole Winthrop is the latest innovation, the result of more than two decades of scientific collaboration involving DNDi, Sanofi, and partners. In 2009, they developed a combination of existing drugs known as NECT, which was extremely effective and had a good safety profile. A donation programme was set up by Sanofi and Bayer to provide NECT free of charge to endemic countries through the World Health Organization (WHO), radically improving treatment options for patients.
DNDi, Sanofi, and partners developed fexinidazole, which in 2018 became the first all-oral treatment available for gambiense sleeping sickness. This 10-day treatment is now available in all sleeping sickness-endemic countries.
Acoziborole Winthrop can be administered as a single oral dose, potentially without the need of systemic hospitalization or supervision of the treatment at home. This means it could become a major tool to facilitate efforts to finally eliminate sleeping sickness.
About DNDi
The Drugs for Neglected Diseases initiative (DNDi) is a not-for-profit medical research organization that discovers, develops, and delivers safe, effective, and affordable treatments for neglected populations. DNDi is developing medicines for sleeping sickness, leishmaniasis, Chagas disease, river blindness, mycetoma, dengue, paediatric HIV, cryptococcal meningitis, and hepatitis C. Its research priorities include children’s health; gender equity and gender-responsive R&D; and diseases impacted by climate change. Since its creation in 2003, DNDi has collaborated with public and private partners worldwide to deliver new treatments for six deadly diseases, saving millions of lives. Acoziborole is the 14th treatment delivered by DNDi. dndi.org
About Sanofi
Sanofi is an R&D driven, AI-powered biopharma company committed to improving people’s lives and delivering compelling growth. We apply our deep understanding of the immune system to invent medicines and vaccines that treat and protect millions of people around the world, with an innovative pipeline that could benefit millions more. Our team is guided by one purpose: we chase the miracles of science to improve people’s lives; this inspires us to drive progress and deliver positive impact for our people and the communities we serve, by addressing the most urgent healthcare, environmental, and societal challenges of our time.
Sanofi is listed on EURONEXT: SAN and NASDAQ: SNY
Topics
- Acoziborole
- Acoziborole Winthrop
- Antimicrobials
- Audrey Duval
- Drugs for Neglected Diseases initiative
- Erick Miaka
- European Medicines Agency
- gambiense sleeping sickness
- Germany
- human African trypanosomiasis
- Industry News
- Infection Prevention & Control
- Infectious Disease
- Luis Pizarro
- Middle East & Africa
- neglected tropical diseases
- One Health
- Parasites
- Pharmaceutical Microbiology
- Sanofi
- UK & Rest of Europe
No comments yet